
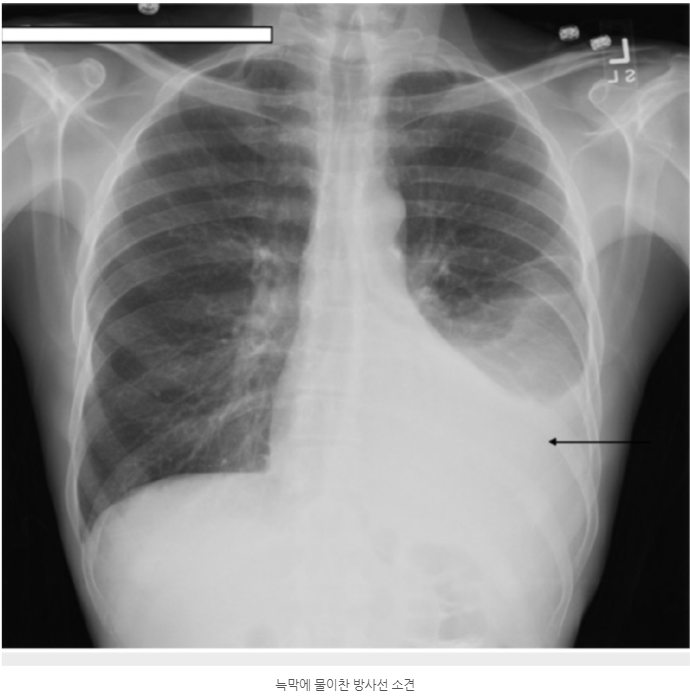
일반적으로 늑막염이라고 하면 여러 가지 원인에 의해서 늑막에 염증이 생기는 것을 말하는데, 이 염증으로 인해서 통증을 일으키고 분비물이 생기면서 늑막강 내에 고여서 흉수가 된다는군요. 흔히 늑막에 물이 고였다고 표현하는 것이 바로 늑막염의 대표적인 증상이라네요.
대부분의 늑막염 증상이라면, 일단 미열과 함께 흉통이 발생하는 것으로 심호흡과 기침으로 악화되어 호흡곤란을 느끼게 된다는 겁니다. 흉통증의 형태는 칼로 찌르는 듯한 날카로운 통증을 나타내기도 한다네요. 무엇보다 전신의 쇠약감이 바로 늑막염 증상의 특징이라는군요.

과연 늑막염의 원인은 무엇일까요? 사실 늑막염은 독감 같은 바이러스성 질환이 원인이 되어 발생할 수 있다고 하며 폐렴이나 혈전, 폐색전증이 늑막염의 원인이 되기도 한다는군요.
특히 우리나라에서 발생하는 늑막염의 원인으로는 결핵균 감염인 경우가 많다고 하는데, 그 외에도 악성종양이나 류마티스 관절염 및 각종 자가면역질환의 발병에 의해서 늑막염이 발병하기도 한다네요. 한 가지 더, 옆구리 타박상이 늑막염의 원인이 되기도 한다는군요.

늑막염 증상과 원인까지 알아보았는데, 그렇다면 치료법은 무엇일까? 늑막염의 치료에 대해서 찾아볼게요.
일단 늑막염의 치료에 있어서는 그 원인에 따라 달라지게 된다는데, 우선 폐렴이 늑막염의 원인인 경우에는 항생제 치료를 해야 하는 것에 반해서 결핵성 늑막염의 경우는 항결핵제로 치료해야 한다고 하네요.
사실 늑막염 치료에 있어서 항생제로 치료 후에도 호전되지 않거나 늑막유착에 의한 호흡곤란 등의 합병증이 발생하는 경우에는 흉막 박피술 치료를 하기도 한다는군요. 특히 흉수가 차 있는 경우라면 흉관삽입을 하여 흉수가 고이지 않도록하는 치료를 시행하기도 한다는군요.

늑막염을 예방하기 위해서는 폐의 건강을 유지하는 것이 중요한데요.
흡연자는 흡연을 중단해야 하며 걷기와 자전거 타기와 같은 꾸준한 에어로빅 운동으로
폐 기능을 향상시키는 것이 좋습니다.
또한, 면역력이 약하고 폐렴이 있는 노인들에게 흔히 사용되는 폐렴 구균 예방 접종을
시행하는 것이 도움이 됩니다.

이상으로 늑막염 증상의 원인은 무엇이며 그 치료방법에는 어떤 것들이 있는지 간단히 정리해 보았습니다.
| 협심증 전조증상과 치료 방법 2종류! (0) | 2020.12.08 |
|---|---|
| 얼굴이 거무스름해진다거나 어깨나 등, 가슴 등에 확장된 모세혈관을 나타내면!! (0) | 2020.08.09 |
| 목 디스크 증상을 체크해보자! (0) | 2020.04.18 |
| 맹장은 어디 위치한 장기일까... (0) | 2020.03.24 |
| 현대인이 흔히 겪는 통증 중 하나가 바로 명치 통증!? (0) | 2020.03.24 |